Já escrevi bastante sobre Disfunção Temporomandibular (DTM) nestes quase 7 anos de blog (sim, aniversário do blog chegando!).
Mas nunca citei as DTM de rara ocorrência.
Você pode passar sua vida sem ver um caso deste ou ele aparecer no seu consultório amanhã, não é mesmo?
Assim, resolvi escrever hoje sobre miosite ossificante.
A Academia Americana de Dor Orofacial (AAOP) no último guia de 2013 classificou a Miosite Ossificante dentro do grupo DTM Muscular – I- Dor muscular limitada a região orofacial e dentro do subgrupo C. Miosite.
Miosite por definição é uma dor de origem muscular com características de inflamação ou infecção, ou seja, com presença de edema, eritema e/ou aumento de temperatura. Este quadro é raro e surge normalmente após trauma direto a musculatura, infecção ou em casos crônicos, doença auto-imune. Geralmente há trismo (leia a postagem sobre Trismo!).

Pois bem, quando corre calcificação da musculatura após histórico de trauma o quadro é denominado miosite ossificante traumática.
Mas está também pode ser progressiva (fibrodisplasia ossificante progressiva), que é uma doença autoimune autossômica.
Quero me concentrar na MO traumática neste texto. Esta não é frequentemente descrita na literatura em músculos mastigatórios. Seu sinal clínico mais comum é uma perda na mobilidade mandibular progressiva, ou seja, trismo que acontece aos poucos.
Num trabalho recente (referência logo abaixo), autores catalogaram 42 casos de MO nos músculos mastigatórios, onde a idade média foi de 38 anos e o problema ocorrer duas vezes mais frequentemente em homens (2.4:1).
Os casos foram distribuídos assim: masseter (25 casos), pterigoideo medial (14 casos), pterigoideo lateral (9 casos) e temporal (5 casos).
Masseter parece ser mais afetado pela suposição anatômica que favorece receber mais traumas diretos.
Vasculhando a literatura, li que alguns autores relatam que o termo traumática é inadequado, uma vez que na literatura vários casos não relataram trauma e havia pouca inflamação.
Por que isso acontece? Algumas teorias foram propostas. A mais aceita envolve a diferenciação de células extraósseas expostas a proteínas ósseas morfogênicas que podem ter sido liberadas durante o trauma. Também há quem sugira que fragmentos ósseos possam ter se deslocado nos tecidos ao redor durante o trauma e com o hematoma pode ocorrer proliferação óssea.
Como diagnosticar?
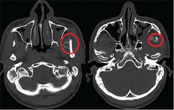
Olha, como tudo que é raro, ninguém pensa neste diagnóstico de primeira, o que pode tornar um desafio para o clínico. Como escrevi trismo é o sinal característico. Deve se observar histórico de trauma, cirurgia ou injeção no local. radiografia panorâmica não ajuda muito pela sobreposição de imagens. Assim, tomografia computadorizada é o exame de imagem necessário para diagnóstico e planejamento cirúrgico.
A imagem é bem circunscrita, bem atenuada perifericamente e menos no centro. Dependendo da maturidade da MO algumas lesões podem estar ou não atreladas a imagem principal.

Ao contrário da progressiva, a MO traumática nos músculos mastigatórios regride geralmente após excisão cirúrgica, com raros casos de recidiva relatados.
Retirei boa parte do texto do artigo abaixo que está gratuito para download e traz a revisão de literatura: Myositis ossificans of the left medial pterygoid muscle: case report and review of the literature of myositis ossificans of masticatory muscles.
A figura veio deste caso: Reddy SD, Prakash AP, Keerthi M, Rao BJ. Myositis ossificans traumatica of temporalis and medial pterygoid muscle. J Oral Maxillofac Pathol 2014;18:271-5
Em português e com data de publicação mais recente encontrei um trabalho de mestrado (revisão da literatura), um trabalho de conclusão de curso de especialização em radiologia (também revisão) e um relato de caso clínico apresentado na Jornada Odontológica Sul-Grandense.
Fica a dica de leitura!
Falando nisso…
Se você tem um caso interessante a ser relatado, submeta ao III Congresso Brasileiro e Dor Orofacial! Você pode apresenta-lo no formato poster!
Este ano os três melhores relatos de caso serão premiados com menção honrosa, bem como os três melhores na categoria Pesquisa. O melhor trabalho em pesquisa leva também o Prêmio Prof. Eleutério Martins.
Os trabalhos podem ser submetidos até dia 03/04.
Não perca esta oportunidade!
Saiba mais em http://bit.ly/sbdof2017


